Accueil/Ressources / CSTM Blog / The Red Cell Membrane and Rare Antibodies

The Red Cell Membrane and Rare Antibodies

What prompted my first entry was a recent discussion with one of my colleagues on the subject of the red cell membrane. She commented that she was not taught of the subject years back. I told her that blood group antigens are not there to let us to make a living but they are vital parts of the red cell cytoskeleton and have specific functions.  The following question is an example of how their absence would affect red cell appearance and life span.
 
MIX and MATCH
 
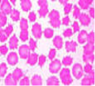
Match the following rare antibodies with the abnormal red cell morphology in pictures 1-3:
 
     a.  Anti-Rh 29 (“total Rh”)
 
     b.  Anti-Km (KEL20)

     c.  Anti-Ge2 (Gerbich)
 
            
           #1: 
                           
                         

     #2: 
                        


     
     #3.
                        

 
Although we are very unlikely to come across any one of the above cases, when we have extreme difficulty finding compatible donors, abnormal red cell morphology may give us a clue to identify these rare alloantibodies to high incidence blood group antigens.

 
Answers
    #1:  a         Stomatocytosis found in Rh null/deficient syndrome; a transfused patient may
                      develop anti-Rh-29.

 
    #2:    c         Elliptocytosis is found in patients with the Leach phenotype (Ge:-2.-3.-4), the null
                      phenotype of the Gerbich blood group system.  A transfused patient may develop
                      antibodies to Ge2,Ge3 or Ge4.

 
    #3:    b        Acanthocytosis found in patients with McLeod syndrome; transfused patient may
                     develop anti-Km or anti-Kx or both. Km and Kx are high incidence blood group
                     antigens in the Kell and Kx blood group system respectively.

 
Please share with us if you have experience dealing with these rare antibodies. I am lucky not to have experienced any one of them.
 
 My questions regarding anti-Rh29, anti-Ge2 and anti-Km:

 
     1.     Which one of the three antibodies will definitely not cause HDFN?

 
     2.     Which antibody is the most clinically significant?

 
     3.      What would you do if you have to deal with such a case?

 
You can look up Geoff Daniels’ Human Blood Groups , AABB Technical Manual (or Marion Reid and Christine Lomas-Francis’s Blood Group Antigen Facts Book for more information on these subjects. You can also google it (I have no google shares)! If you don’t have time, just ask me for answers. I’d like you to blog your answers as well. :-)

Better still, blog what you want to share with everyone here; let us  keep Bev busy!

Have fun,

Eric

Comments

Comments
Blog post currently doesn't have any comments.
 Security code